Join the thousands of patients who have transformed their lives.

We are a highly qualified team of dental implant providers dedicated to beautifully restoring missing teeth.

Call Today!
West Chicago:
(630) 520-0166
Waukegan: (847) 672-9616

 
 
AdobeStock_250626325.jpg

Return to Full Dental Function

Stunning porcelains replicate natural teeth perfectly.

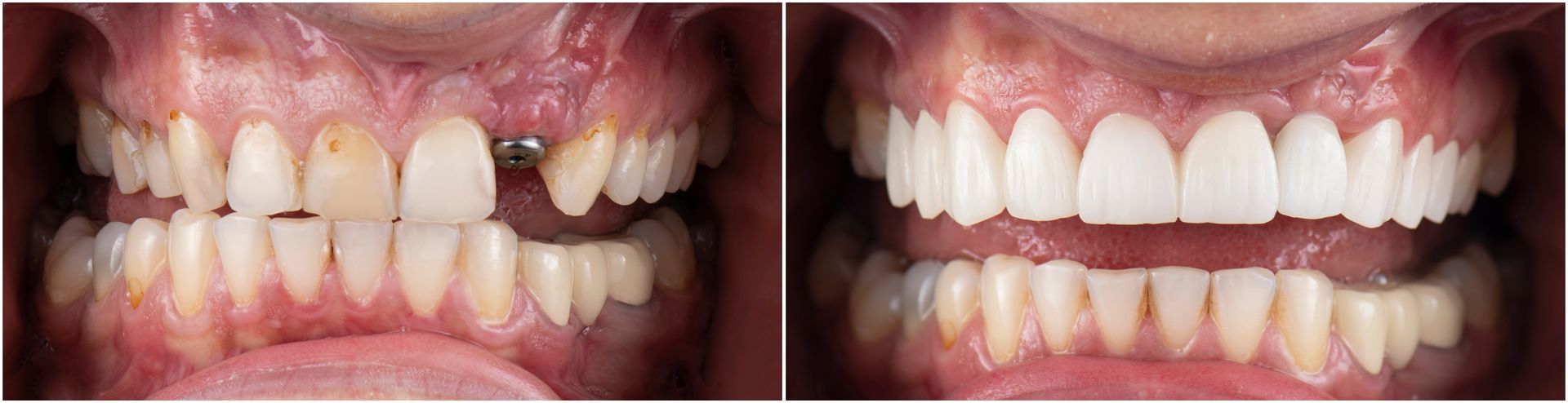
When it's time to replace missing teeth, whether it's one or a full set, several options might be available to you. Dental implants often give you the best opportunity to enjoy normal chewing and a full smile. We provide a long-lasting choice, that is as close to growing new teeth as possible. Expertly placed in the same bone that once supported teeth, you'll enjoy a natural feeling of strength and function. Using modern porcelains we produce life-like results that may leave you completely unaware that they aren't your natural teeth.

We’re dedicated to helping patients restore their bite with dental implants.

We know it's not always easy for you to sort through the complicated possibilities. Our background in restorative dentistry allows us to develop solutions for every scenario. We look forward to discussing how we can partner together for the best solution for you!

 

One of Healthcare's Greatest Values

Even with all the benefits, the cost of dental implant procedures is an important consideration. When your case brings together the latest imaging, advanced training, and unique material technologies, this service offers one of the best values in modern health care. Compared to the replacement of other hard structures and joints of the body, dental implants can be done at a small fraction of the typical cost. Better yet, most patients carry on with normal activities right away and usually enjoy a lifetime of normal chewing, bite stability, and appearance.

Dental implants

What makes implants unique?


Secure

Placed in the same bone that once supported teeth. The stability and confidence you feel with implants will leave you delighted.

Natural

A stable life-like replacement, not just a “space filler”. An implant operates as a functional tooth root preventing bone loss like real roots.

Permanent

Dental implants have over a 90% success rate. If cared for properly, implants can last as long as you do with very little maintenance.

 

Time to make a healthy choice.

Take our smile assessment and see if you're a good candidate for dental implants.


 
3a.jpg